

The staff at Upland Dental Clinic are trained and experienced in every facet of general and cosmetic dentistry. This includes Preventative Care, as well as oral cancer screenings, Restorative and Cosmetic dentistry, as well as extractions, root canals, and implants or dentures to replace missing teeth. We want to provide the highest quality of care and we invest in using use up-to-date state of the art equipment, sterilization techniques and materials including digital X-rays. When you visit us at Upland Dental Clinic, you can rest assured that you will be treated with excellent service and care. We strive to achieve perfection so that you have a great dental experience. We strive to do things in house and only refer out when it is in your best interests.
General Dentistry services we provide:
• Porcelain Veneers
• In Office Zoom Teeth Whitening
• Mercury-Free Fillings
• Periodontial Treatment with Laser
• Root Canal Therapy
• Extractions and Implants
• Dentures
• Emergency Dental Treatment
Low Radiation Digital X-Rays
Benefits of Digital X-Rays over film
• Reduced radiation exposure by 90%
• Shorter time to take images
• Instant analysis
• No chemicals needed for processing
• Easy to duplicate
• Emergency Dental Treatment



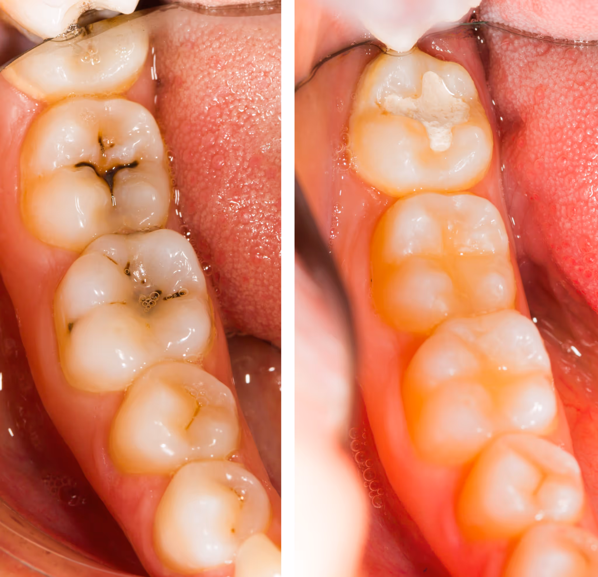
Cavities Information from Upland Dental Clinic
A cavity develops when tooth decay breaks through the protective layers of a tooth. Cavities can progress gradually, often without noticeable symptoms at first, which is why routine dental exams are so important. Understanding the stages of tooth decay can help you recognize problems early and seek treatment before more serious damage occurs.
Stage 1: White spot lesions
The earliest sign of tooth decay appears as small white spots on the surface of the tooth. These areas indicate mineral loss beneath the enamel, a process known as demineralization. At this stage, no permanent damage has occurred. With excellent oral hygiene and fluoride treatment, enamel can be strengthened and the process may be reversed before a filling is needed.
Stage 2: Enamel Decay
Tooth decay often begins beneath the enamel before becoming visible on the surface. During this stage, the enamel may initially appear intact, but a small cavity can eventually form. If decay is limited to the enamel, it may still be reversible in some cases. Because pain is uncommon at this stage, many people are unaware a cavity is developing—making regular dental visits essential for early detection.
Stage 3: Decay reaches into the dentin
Once decay breaks through the enamel, it spreads more quickly into the softer dentin layer beneath. At this point, the cavity must be treated promptly to prevent infection or severe discomfort. A dental filling is typically required to restore the tooth and stop further damage.
Stage 4: Decay reaches into the pulp
When decay reaches the pulp, the inner portion of the tooth that contains nerves and blood vessels, significant pain often develops. Treatment options at this stage are limited to root canal therapy or tooth extraction. Regular dental checkups every six months can help prevent decay from progressing to this level.
Stage 5: Abscess formation
In the most advanced stage, infection spreads beyond the tooth root and into the surrounding bone and tissue, forming an abscess. This can cause severe pain, swelling, and serious health risks if left untreated. Immediate dental care is critical at this stage.
Cavities damage the enamel and dentin that protect your teeth and can eventually affect the nerve tissue inside. The pain associated with deep cavities is believed to result from inflammation and pressure changes within the tooth, along with exposure of sensitive areas to air and temperature changes.
Symptoms of tooth decay vary. Many cavities cause no discomfort early on, but as decay advances, sensitivity to hot and cold foods and beverages often develops. Pain usually appears only after significant damage has occurred.
Cavities are typically diagnosed during routine dental exams or when a patient seeks care for tooth pain. Diagnosis may include a visual inspection, gentle probing of the tooth surface, and dental X-rays to identify decay not visible to the eye.
Treatment usually involves removing the decayed portion of the tooth and placing a filling to restore strength and prevent further damage.
Schedule an appointment with Upland Dental Clinic today to protect your teeth and catch cavities early—before they become painful or costly to treat.


.avif)
.avif)




.avif)
%20(1).avif)
%20(1).avif)
%20(1).avif)










Dental Hygiene Information from Upland Dental Clinic
Overview:
Dental fillings are used to restore damaged tooth structure due to decay or fracture.Silver (Amalgam) fillings have dominated general dentistry for decades. But nowadays, a wide variety of improved composite materials are used.Composite fillings are not only mercury-free, but are tooth colored material for a natural appearance and are strong enough to seal decay and withstand chewing. The procedure is fast, being completed during your visit.

A crown is a procedure that can be indicated for several dental issues. It is sometimes necessary when a tooth has been damaged and a filling cannot restore the tooth to full health. This can be caused by a large filling or cavity causing the tooth to become weak and crack. Crowns can also be used for cosmetic improvements if a tooth is an unusual color or shape and sometimes to prepare for bridge work.
Two visits are usual for a crown procedure. The initial visit involves an x-ray of the tooth and surrounding area, removal of any diseased portions of tooth, and shaping the tooth to properly place the crown. An impression of the tooth is taken both before and after this work is done. A temporary crown will be placed at the first visit. The second visit occurs when the permanent crown has been made. At this visit the crown will be adjusted to fit comfortably in the mouth and placed permanently in place.
In addition to looking beautiful, the benefits of a crown include saving your original and natural tooth structure and helping to save money from expensive treatments like dental bridgework or dental implants. Letting your broken, chipped, or decaying tooth remain untreated puts you at risk for medical problems and expensive treatments in the future. If you suspect these types of problems, it is strongly advised to make a consultation appointment and get a dental crown as soon as possible. Click here now for an appointment.
Crowns, or caps, are used to protect teeth that have become severely damaged through decay or trauma. A crown protects the tooth from further damage like breakage, and it also provides a strong surface for chewing so the tooth can function normally. Today's natural-looking porcelain crowns can also be used to improve the appearance of teeth with large fillings or dark fillings that are very noticeable. At Upland Dental Clinic, we custom-create every crown, shaping and tinting it so it blends seamlessly with the rest of your teeth. If you have large fillings or other problems that detract from your appearance, call us today to schedule a consultation and learn about options that can help you have a great-looking smile.
If you have any questions, please call us for more information on dental crowns. We will advise you on all of your options when you come in for a consultation.


A crown is a procedure that can be indicated for many things for example:
🦷 Change the shape of a tooth to improve a smile
🦷 Broken tooth
🦷 After a root canal to protect the remaining tooth
🦷 Large cavity and trauma
This is a crown which was commonly used, however over time a black line can become visible at the gum giving an unpleasant appearance. Newer materials are available which provide a more natural look.
These are zirconia crowns, which is a hard ceramic.
The crowns on the right set of teeth are zirconia. The appearance is much more natural with no gray shadow appearance. These crowns are more commonplace today, although the porcelain fused to metal could be a great option for back teeth where aesthetics is less of an issue.

Root Canal Treatment is performed when a tooth's pulp tissue becomes diseased.
WHAT IS ROOT CANAL TREATMENT?
In the past, teeth with injured, infected or diseased pulps were removed. Dentists today use root canal treatment to find the cause of the problem, treat the pulp and save the teeth.
WHAT IS DENTAL PULP?
Teeth are made of three parts: a protective shell called enamel, a softer layer in the middle called dentin and an inner layer known as dental pulp. This inner layer is composed of nerve tissue, lymph tissue and blood vessels and extends from the tip of the tooth's root to its crown. When oral bacteria, a fracture or forceful blow compromises the pulp, the tooth begins to die. To prevent tooth loss and further infection, root canal treatment is necessary.
WHAT SYMPTOMS INDICATE A NEED FOR ROOT CANAL TREATMENT?
Common symptoms that may indicate a need for treatment include sensitivity to cold or hot foods, spontaneous throbbing or pain, especially when biting, and severe injuries or decay that create an infection in the bone. A diseased tooth may cause minimal to severe pain and also lead to swelling in the surrounding gum tissue. Some patients may also experience tooth discoloration.
WHAT DOES TREATMENT INVOLVE?
Root canal treatment may take up to three visits to complete. During the process, your dentist eliminates the diseased pulp before cleaning and sealing the root canals and pulp chamber of the tooth.
To remove the diseased pulp, the dentist makes an opening through the tooth's crown. The pulp is removed, then the dentist cleans and reshapes the root canals. To eliminate germs and prevent futher infections, the dentist may put medications in the pulp chamber.
Following this procedure, a temporary filling is applied to protect the tooth. The patient may also receive medication to control infections in the surrounding teeth and gums.
Finally, the root canals and pulp chamber are filled and sealed. After removing the temporary filing, a porcelain or gold crown is placed over the tooth.
HOW LONG CAN RESTORED TEETH LAST?
If you continue to practice good oral hygiene on your gums and teeth, your restored tooth can last a lifetime. Regular checkups are required, but the tooth will remain healthy as long as the roots are nourished by the surrounding tissues. A common reason that people do not treat potential dental problems is cost. When undertaking a root canal, even people with dental insurance can expect some out-of-pocket expense. Upland Dental Clinic has programs in place to assist with payments and the costs associated. Discuss these options with your Upland Dental Clinic dentist or call (909) 949-4070 for more options.
HERE ARE SOME TIPS ON TOOTH SENSITIVITY.
Teeth are protected from sensitivity by enamel and gum tissue. Teeth that lose this protection can become sensitive when exposed to certain triggers. The primary symptom is a sharp pain shooting through the nerves of a tooth. This is usually caused by eating or drinking something that triggers the pain. This may be sweet, sour, hot, or cold foods and beverages. Even something as simple as breathing in cold air can cause pain.
There are several things that can cause tooth sensitivity. Tooth decay, receding gums, teeth damaged by cracks or grinding, certain foods high in acid, and heavy plaque can all contribute to painfully sensitive teeth. The dentist will help determine the cause and prescribe treatment methods to reduce sensitivity.
Knowing the reasons and taking steps early on may be able to prevent expensive and painful treatments later. Please contact Upland Dental Clinic Office at the top of this page to schedule an appointment.
Staying informed about Oral Cancer
Factors within your control:
1. Tobacco Usage. Tobacco use is one of the biggest contributing factors to oral cancer and cancers of the mouth. To avoid oral cancer, individuals need to steer clear of all forms of tobacco. This includes cigarettes, cigars, pipe smoking and chewing tobacco.
2. Alcohol Consumption in Excess. Individuals who consume over 14 alcoholic beverages a week are at a greater risk. Any drinking should be done in moderation.
3. Combination of Alcohol and Tobacco. The combination of alcohol and tobacco usage can significantly raise an individual’s chances of oral cancer.
4. Unprotected Sun Exposure. Overexposure to the sun will likely increase the chances of lip cancers. Individuals should use a lip balm containing a minimum of SPF 30 when venturing out in the sun.
5. Fruits and Vegetables. A diet low in fruits and vegetables does not contain enough nutrients to protect an individual from developing various diseases including oral cancer.
6. Bedis and Betel Nut Usage. Bedis or betel nuts when smoked or chewed can contribute to oral cancer, and their usage should be avoided.
Several Early Indications of Oral Cancer
Wounds that take more than 14 days to heal
Prolonged hoarseness
Red or white patches inside the mouth or on the lips
Several Advanced Indications of Oral Cancer
Difficulty swallowing or the feeling of something caught in your throat
Numbness or tingling in the jaw
Movement changes in the jaw and tongue areas
Frequent earaches
A sore or wound located underneath the dentures that fails to heal, even after an adjustment
A thickening or lumps that form on the neck or in the mouthIf found early, the five-year survival rate for oral cancer is approximately 82 percent.
If found late, the five-year survival rate for oral cancer can be as low as 31 percent.
The key to success is finding oral cancer in its early stages.
Is Brushing Your Teeth a Preventative Measure for Heart Attacks?
While it is common knowledge that routine brushing and flossing of teeth is necessary to maintain a healthy smile and prevent cavities, it is also an important step in combating the onset of heart attacks and strokes.
Researchers have found that not only does regular brushing protect against gum diseases and decay, but also against heart diseases as well. Numerous reliable sources, like the University of Kiel, have discovered that routine maintenance of teeth is correlated with a reduced risk of heart attacks as compared to people that are less hygienic. Those involved in the studies believe that this correlative link indicates a possible connection between the onset of gum disease and an increased likelihood of future heart attacks and strokes.
The knowledge of these findings can help spread awareness of the importance of proper tooth maintenance, so that in the future people will not only have a brighter smile, but will also live long enough to properly show it off.
The dentists at Upland Dental Clinic urge you to brush and floss daily, avoid foods and behaviors that potentially increase risks, and see your dentist regularly for a checkup. Your teeth will be healthier and your smile will be brighter. If you can help avoid a heart attack or stroke in the process, it just makes sense.
Dental Emergency Tips from Upland Dental Clinic
The most common dental emergencies are toothaches and teeth being knocked out. Most people will have to deal with at least one dental emergency in their lifetime, and many times knowing some simple tips on what to do in a crisis can mean the difference between a minor inconvenience and a costly and expensive surgery. Here are some things to look for to potentially intervene early and avoid an emergency:
Swelling: Swelling of your lips or gums, tongue or other areas of your mouth can cause severe consequences. Sometimes it can be a simple cause like food particles stuck in between your teeth or between your teeth and gums. Other times, more serious causes like cysts, infections and possibly oral cancer are at the root of the swelling, and early detection and examination by your dentist is crucial to avoiding complications down the road.
Pain: While taking a pain medication at home may cause the pain to go away, you should always consider that the cause of the pain should be checked out by a dentist as soon as possible. Pain is your body telling you that something is wrong, and before long a minor pain can become a major issue! Pain may mean you have an oral infection, which has a potential to be a life-threatening condition as it can spread to other parts of your body.
Knocked out teeth : A tooth that has been knocked out is referred to as "avulsed." This is probably the most common dental emergency, and this situation happens to more than five million people per year. The good news is many of these teeth can be saved and replaced by a dentist. It is crucial that you do not delay if your tooth is knocked out, because time is of the essence in getting it replaced and healthy. The longer it takes you to get to a dentist, the less chance the tooth has of being saved.
Risk Groups For Emergencies : There are many lifestyles that put you in the risk catagory for potentially having an emergency, and knowing what to do before hand is the key to keeping yourself safe. If you play sports, especially contact sports like football and boxing, Always wear protective guards for your mouth when participating in order to reduce your risks. However, simple daily activities can also cause an emergency. Many people break their teeth every year by chewing ice, or using their teeth to open packaging. Avoid these kinds of activities.
TREATMENT FOR EMERGENCIES
Treatment for dental emergencies starts before you get to the dentists office. You should take the following general precautions and actions before arriving:
If you are bleeding: Go immediately to the hospital if you have excessive bleeding, suspect you have broken your jaw, or experience significant swelling
If you have lost a tooth: Keep the area in and surrounding the tooth or teeth clean and free of dirt and debris by rinsing with warm water. Also, put the tooth in milk or keep it in your mouth if possible.
If you have swelling: Apply cold compresses to control swelling.
In all cases of emergencies: The dentist will need to examine your teeth and gums to determine what happened. The dentist will also ask you questions about the incident that caused the problem, and will request information about your medical history. Only then can the dentist can then determine the treatment method that is correct for the emergency.
IMPORTANT CONSIDERATIONS
Dental emergencies require immediate attention from a dentist. If there is ever a question in your mind that you have a dental emergency, you should contact a dentist immediately.
Being prepared for dental emergencies before hand gives you the best chance of success. If you don't have a regular dentist, please feel free to keep our contact information in your wallet or purse so you can call quickly and get to our nearest location.
Our phone number is (909) 949-4070.