

The staff at Upland Dental Clinic are trained and experienced in every facet of general and cosmetic dentistry. This includes Preventative Care, as well as oral cancer screenings, Restorative and Cosmetic dentistry, as well as extractions, root canals, and implants or dentures to replace missing teeth. We want to provide the highest quality of care and we invest in using use up-to-date state of the art equipment, sterilization techniques and materials including digital X-rays. When you visit us at Upland Dental Clinic, you can rest assured that you will be treated with excellent service and care. We strive to achieve perfection so that you have a great dental experience. We strive to do things in house and only refer out when it is in your best interests.
General Dentistry services we provide:
• Porcelain Veneers
• In Office Zoom Teeth Whitening
• Mercury-Free Fillings
• Periodontial Treatment with Laser
• Root Canal Therapy
• Extractions and Implants
• Dentures
• Emergency Dental Treatment
Low Radiation Digital X-Rays
Benefits of Digital X-Rays over film
• Reduced radiation exposure by 90%
• Shorter time to take images
• Instant analysis
• No chemicals needed for processing
• Easy to duplicate
• Emergency Dental Treatment



Cavities Information from Upland Dental Clinic
Stage 1: White spot lesions
The tooth begins to show signs of damage. White spots appear. They are under the surface of the enamel, which are visible. Demineralisation will result in these spots
It this stage, it’s possible to halt a cavity before it needs a filling. Dental hygiene can stop the erosion. Fluoride can remineralize the enamel. This can be reversed with appropriate care.
Stage 2: Enamel Decay
Did you know that tooth decay begins under the surface of the enamel?
The visible enamel is intact for the first part of Stage 2. Then the hole may become visible on the surface
In some cases if it hasn’t reached the dentine and is only in the enamel it can be reversed but otherwise will require a filling. You may not even realise that you have a cavity as usually there is little pain so going to the dentist is imperative in catching these early lesions is they don’t progress.
Stage 3: Decay into the dentine
The decay breaks down the enamel and hits the soft dentin layer that lies below. This cavity must be restored before it causes an infection or severe pain.
Stage 4: Decay into the pulp
This is when decay has reached the nerve. The only treatment options are root canal or extraction. This can produce severe pain, so don’t wait until it causes this problem, see a dental professional every 6 months to prevent this from happening.
Stage 5: Abscess
The decay (and infection) has traveled through the pulp and out the end. In the final stage, it drills through the tip. Now the infection is in the tissue and bone surrounding the tooth root. The area swells up and it’s exceptionally painful.
Cavities pierce the protective enamel and dentin that surrounds your teeth, even going so far as to affect the parts of the tooth that contain important nerve endings.
While it is not entirely known what causes the intense pain that is commonly associated with someone afflicted with a deep cavity, it is believed to be a result of inflammation. This inflammation is the result of imbalanced fluid levels found in the dentin of the tooth, as well as exposure of the affected area to air.
The symptoms of a cavity can vary in severity, with many people experiencing no early signs of a cavity’s presence. Over time though, as the decay increases in the enamel, the most prominent symptoms are sensitivity to both heat and cold.
The diagnosis of a cavity is usually done as part of a routine examination or when a patient schedules an appointment as a result of pain experienced by the cavity. A visual examination is normally accompanied by physical contact with the tooth in question with an instrument known as an explorer. This pointed pick-like object examines the surface of the tooth in search of pits and damaged areas: two signs indicative of a cavity. In special cases, an x-ray is required to provide insight into the damaged areas of a tooth that physical exploration was ineffective in revealing.
Treatment of a cavity consists of filling a tooth so that it will not only prevent future decay, but also provide the tooth’s structure with stabilization.


.avif)
.avif)




.avif)
%20(1).avif)
%20(1).avif)
%20(1).avif)










Dental Hygiene Information from Upland Dental Clinic
Overview:
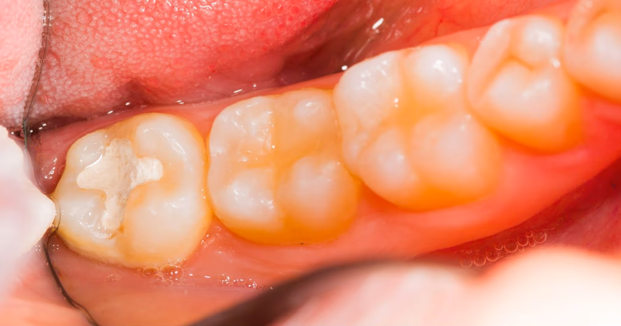
Dental fillings are used to restore damaged tooth structure due to decay or fracture.Silver (Amalgam) fillings have dominated general dentistry for decades. But nowadays, a wide variety of improved composite materials are used.Composite fillings are not only mercury-free, but are tooth colored material for a natural appearance and are strong enough to seal decay and withstand chewing. The procedure is fast, being completed during your visit.

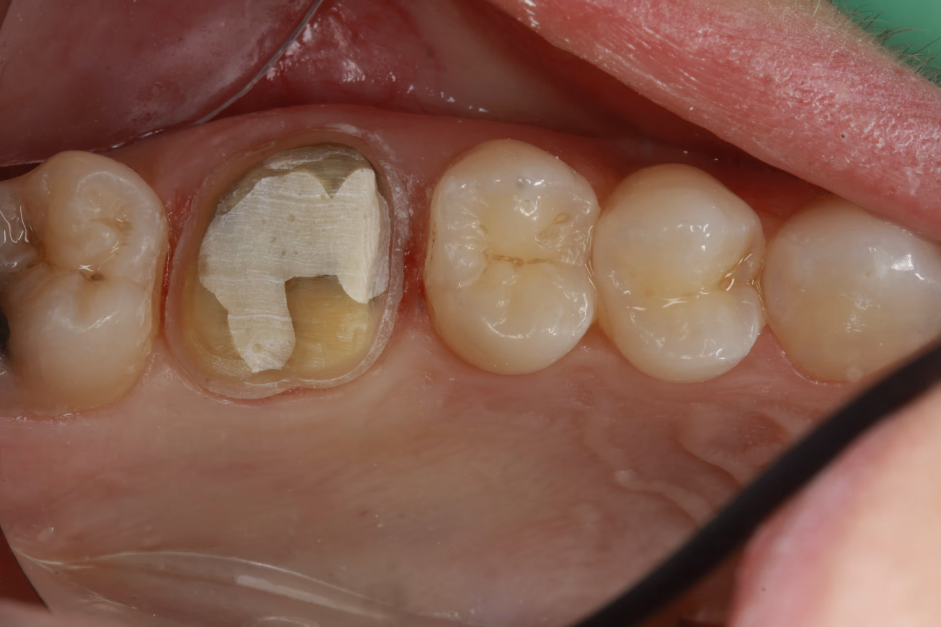
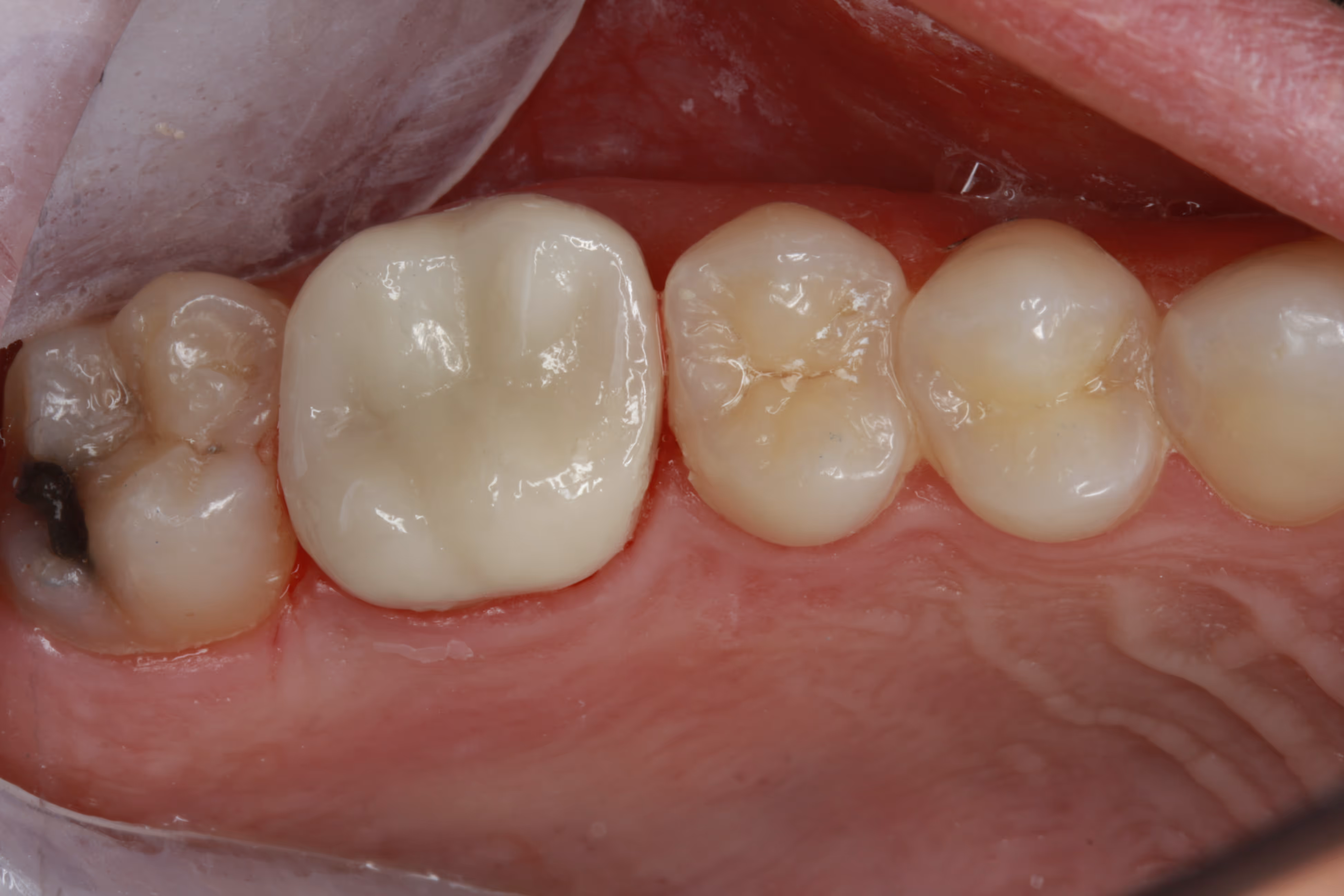
A crown is a procedure that can be indicated for several dental issues. It is sometimes necessary when a tooth has been damaged and a filling cannot restore the tooth to full health. This can be caused by a large filling or cavity causing the tooth to become weak and crack. Crowns can also be used for cosmetic improvements if a tooth is an unusual color or shape and sometimes to prepare for bridge work.
Two visits are usual for a crown procedure. The initial visit involves an x-ray of the tooth and surrounding area, removal of any diseased portions of tooth, and shaping the tooth to properly place the crown. An impression of the tooth is taken both before and after this work is done. A temporary crown will be placed at the first visit. The second visit occurs when the permanent crown has been made. At this visit the crown will be adjusted to fit comfortably in the mouth and placed permanently in place.
In addition to looking beautiful, the benefits of a crown include saving your original and natural tooth structure and helping to save money from expensive treatments like dental bridgework or dental implants. Letting your broken, chipped, or decaying tooth remain untreated puts you at risk for medical problems and expensive treatments in the future. If you suspect these types of problems, it is strongly advised to make a consultation appointment and get a dental crown as soon as possible. Click here now for an appointment.
Crowns, or caps, are used to protect teeth that have become severely damaged through decay or trauma. A crown protects the tooth from further damage like breakage, and it also provides a strong surface for chewing so the tooth can function normally. Today's natural-looking porcelain crowns can also be used to improve the appearance of teeth with large fillings or dark fillings that are very noticeable. At Upland Dental Clinic, we custom-create every crown, shaping and tinting it so it blends seamlessly with the rest of your teeth. If you have large fillings or other problems that detract from your appearance, call us today to schedule a consultation and learn about options that can help you have a great-looking smile.
If you have any questions, please call us for more information on dental crowns. We will advise you on all of your options when you come in for a consultation.


A crown is a procedure that can be indicated for many things for example:
🦷 Change the shape of a tooth to improve a smile
🦷 Broken tooth
🦷 After a root canal to protect the remaining tooth
🦷 Large cavity and trauma
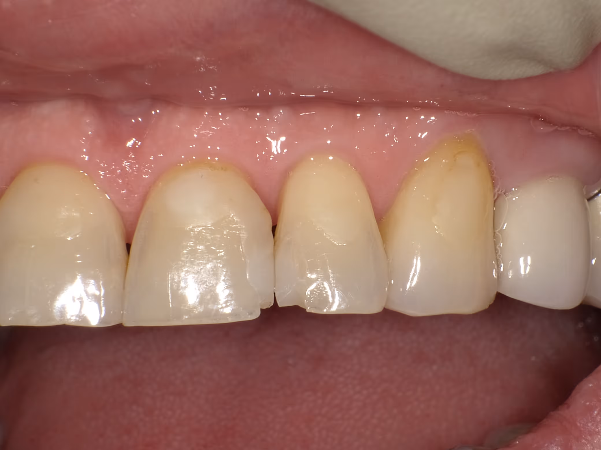
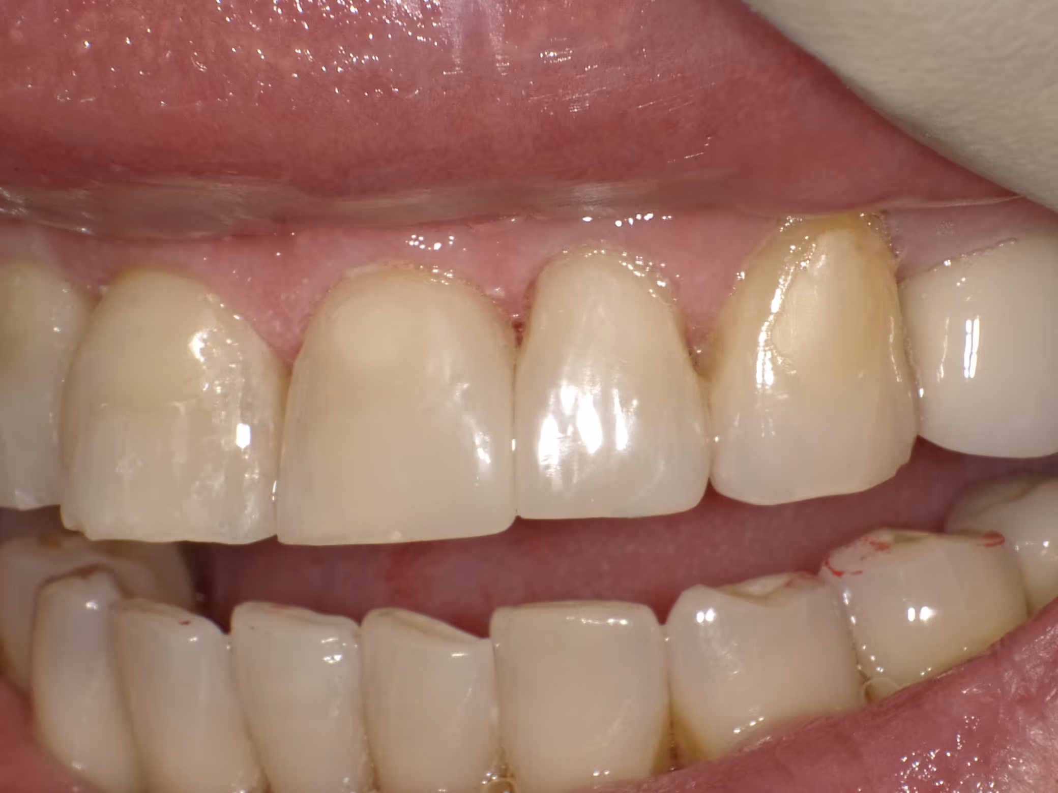
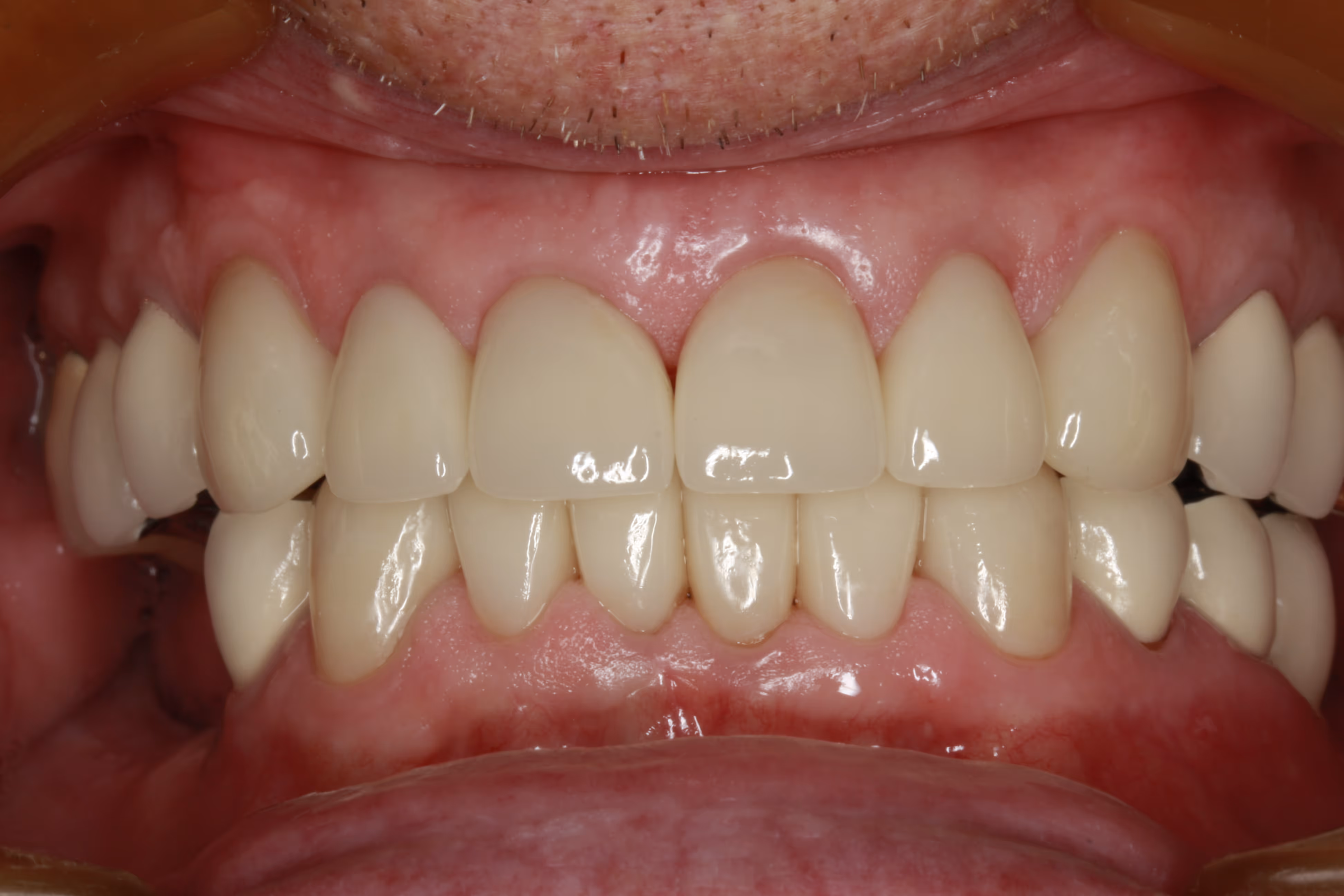
This is a crown which was commonly used, however over time a black line can become visible at the gum giving an unpleasant appearance. Newer materials are available which provide a more natural look.
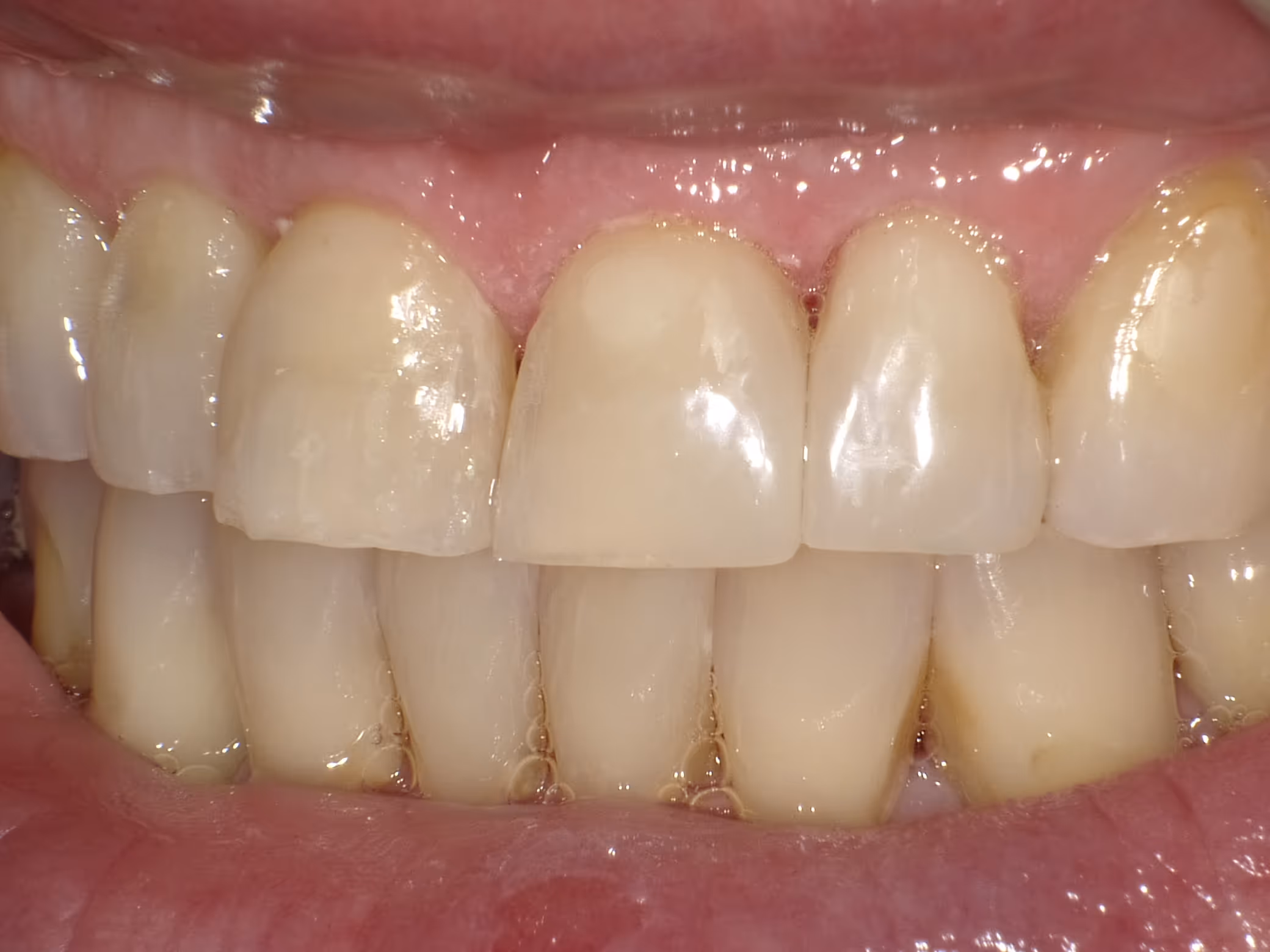
These are zirconia crowns, which is a hard ceramic.
The crowns on the right set of teeth are zirconia. The appearance is much more natural with no gray shadow appearance. These crowns are more commonplace today, although the porcelain fused to metal could be a great option for back teeth where aesthetics is less of an issue.

Root Canal Treatment at Upland Dental Clinic
Root canal treatment is performed when the inner tissue of a tooth, known as the pulp, becomes infected or damaged. This procedure allows the tooth to be treated and preserved rather than removed.
WHAT IS ROOT CANAL TREATMENT?
In the past, teeth with infected or injured pulp were often extracted. Today, root canal treatment makes it possible to locate the source of the problem, remove the diseased tissue, and save the natural tooth. This approach helps maintain proper chewing function and prevents the need for more extensive tooth replacement procedures.
WHAT IS DENTAL PULP?
Each tooth is made up of three layers: the hard outer enamel, the supportive dentin beneath it, and the dental pulp at the center. The pulp contains nerves, blood vessels, and connective tissue and extends from the crown of the tooth down through the roots. When bacteria enter the pulp through deep decay, cracks, or trauma, the tissue can become infected and begin to deteriorate. Without treatment, the infection can spread and lead to tooth loss or more serious complications.
Symptoms That May Indicate the Need for a Root Canal
Signs that a tooth may require root canal treatment can vary. Common symptoms include prolonged sensitivity to hot or cold, persistent or throbbing tooth pain, discomfort when biting or chewing, swelling of the gums, or darkening of the tooth. In some cases, an infected tooth may cause little to no pain, which is why regular dental exams are important for early detection.
WHAT DOES ROOT CANAL TREATMENT INVOLVE?
Root canal treatment is typically completed over one to three visits, depending on the condition of the tooth. During the procedure, the dentist creates a small opening in the tooth to access and remove the infected pulp. The root canals are then carefully cleaned, shaped, and disinfected to eliminate bacteria and reduce the risk of future infection. In some cases, medication may be placed inside the tooth to help control infection.
Once the canals are cleaned, the tooth is temporarily sealed to protect it while healing takes place. If necessary, medication may also be prescribed to manage infection in the surrounding tissues. At the final visit, the root canals and pulp chamber are permanently filled and sealed. A custom dental crown is then placed over the tooth to restore strength, function, and appearance.
HOW LONG DOES A TREATED TOOTH LAST?
With good oral hygiene and regular dental checkups, a tooth that has undergone root canal treatment can last a lifetime. Although the nerve tissue is removed, the tooth remains functional because it continues to be supported by the surrounding bone and gum tissue.
Cost concerns often cause patients to delay treatment, but postponing care can lead to more complex and expensive procedures later. At Upland Dental Clinic, we offer payment options to help make necessary dental care more accessible. To learn more or to schedule a consultation, contact our office at (909) 949-4070.
HERE ARE SOME TIPS ON TOOTH SENSITIVITY.
Teeth are protected from sensitivity by enamel and gum tissue. Teeth that lose this protection can become sensitive when exposed to certain triggers. The primary symptom is a sharp pain shooting through the nerves of a tooth. This is usually caused by eating or drinking something that triggers the pain. This may be sweet, sour, hot, or cold foods and beverages. Even something as simple as breathing in cold air can cause pain.
There are several things that can cause tooth sensitivity. Tooth decay, receding gums, teeth damaged by cracks or grinding, certain foods high in acid, and heavy plaque can all contribute to painfully sensitive teeth. The dentist will help determine the cause and prescribe treatment methods to reduce sensitivity.
Knowing the reasons and taking steps early on may be able to prevent expensive and painful treatments later. Please contact Upland Dental Clinic Office at the top of this page to schedule an appointment.
Staying informed about Oral Cancer
Factors within your control:
1. Tobacco Usage. Tobacco use is one of the biggest contributing factors to oral cancer and cancers of the mouth. To avoid oral cancer, individuals need to steer clear of all forms of tobacco. This includes cigarettes, cigars, pipe smoking and chewing tobacco.
2. Alcohol Consumption in Excess. Individuals who consume over 14 alcoholic beverages a week are at a greater risk. Any drinking should be done in moderation.
3. Combination of Alcohol and Tobacco. The combination of alcohol and tobacco usage can significantly raise an individual’s chances of oral cancer.
4. Unprotected Sun Exposure. Overexposure to the sun will likely increase the chances of lip cancers. Individuals should use a lip balm containing a minimum of SPF 30 when venturing out in the sun.
5. Fruits and Vegetables. A diet low in fruits and vegetables does not contain enough nutrients to protect an individual from developing various diseases including oral cancer.
6. Bedis and Betel Nut Usage. Bedis or betel nuts when smoked or chewed can contribute to oral cancer, and their usage should be avoided.
Several Early Indications of Oral Cancer
Wounds that take more than 14 days to heal
Prolonged hoarseness
Red or white patches inside the mouth or on the lips
Several Advanced Indications of Oral Cancer
Difficulty swallowing or the feeling of something caught in your throat
Numbness or tingling in the jaw
Movement changes in the jaw and tongue areas
Frequent earaches
A sore or wound located underneath the dentures that fails to heal, even after an adjustment
A thickening or lumps that form on the neck or in the mouthIf found early, the five-year survival rate for oral cancer is approximately 82 percent.
If found late, the five-year survival rate for oral cancer can be as low as 31 percent.
The key to success is finding oral cancer in its early stages.
Is Brushing Your Teeth a Preventative Measure for Heart Attacks?
While it is common knowledge that routine brushing and flossing of teeth is necessary to maintain a healthy smile and prevent cavities, it is also an important step in combating the onset of heart attacks and strokes.
Researchers have found that not only does regular brushing protect against gum diseases and decay, but also against heart diseases as well. Numerous reliable sources, like the University of Kiel, have discovered that routine maintenance of teeth is correlated with a reduced risk of heart attacks as compared to people that are less hygienic. Those involved in the studies believe that this correlative link indicates a possible connection between the onset of gum disease and an increased likelihood of future heart attacks and strokes.
The knowledge of these findings can help spread awareness of the importance of proper tooth maintenance, so that in the future people will not only have a brighter smile, but will also live long enough to properly show it off.
The dentists at Upland Dental Clinic urge you to brush and floss daily, avoid foods and behaviors that potentially increase risks, and see your dentist regularly for a checkup. Your teeth will be healthier and your smile will be brighter. If you can help avoid a heart attack or stroke in the process, it just makes sense.
Dental Emergency Tips from Upland Dental Clinic
The most common dental emergencies are toothaches and teeth being knocked out. Most people will have to deal with at least one dental emergency in their lifetime, and many times knowing some simple tips on what to do in a crisis can mean the difference between a minor inconvenience and a costly and expensive surgery. Here are some things to look for to potentially intervene early and avoid an emergency:
Swelling: Swelling of your lips or gums, tongue or other areas of your mouth can cause severe consequences. Sometimes it can be a simple cause like food particles stuck in between your teeth or between your teeth and gums. Other times, more serious causes like cysts, infections and possibly oral cancer are at the root of the swelling, and early detection and examination by your dentist is crucial to avoiding complications down the road.
Pain: While taking a pain medication at home may cause the pain to go away, you should always consider that the cause of the pain should be checked out by a dentist as soon as possible. Pain is your body telling you that something is wrong, and before long a minor pain can become a major issue! Pain may mean you have an oral infection, which has a potential to be a life-threatening condition as it can spread to other parts of your body.
Knocked out teeth : A tooth that has been knocked out is referred to as "avulsed." This is probably the most common dental emergency, and this situation happens to more than five million people per year. The good news is many of these teeth can be saved and replaced by a dentist. It is crucial that you do not delay if your tooth is knocked out, because time is of the essence in getting it replaced and healthy. The longer it takes you to get to a dentist, the less chance the tooth has of being saved.
Risk Groups For Emergencies : There are many lifestyles that put you in the risk catagory for potentially having an emergency, and knowing what to do before hand is the key to keeping yourself safe. If you play sports, especially contact sports like football and boxing, Always wear protective guards for your mouth when participating in order to reduce your risks. However, simple daily activities can also cause an emergency. Many people break their teeth every year by chewing ice, or using their teeth to open packaging. Avoid these kinds of activities.
TREATMENT FOR EMERGENCIES
Treatment for dental emergencies starts before you get to the dentists office. You should take the following general precautions and actions before arriving:
If you are bleeding: Go immediately to the hospital if you have excessive bleeding, suspect you have broken your jaw, or experience significant swelling
If you have lost a tooth: Keep the area in and surrounding the tooth or teeth clean and free of dirt and debris by rinsing with warm water. Also, put the tooth in milk or keep it in your mouth if possible.
If you have swelling: Apply cold compresses to control swelling.
In all cases of emergencies: The dentist will need to examine your teeth and gums to determine what happened. The dentist will also ask you questions about the incident that caused the problem, and will request information about your medical history. Only then can the dentist can then determine the treatment method that is correct for the emergency.
IMPORTANT CONSIDERATIONS
Dental emergencies require immediate attention from a dentist. If there is ever a question in your mind that you have a dental emergency, you should contact a dentist immediately.
Being prepared for dental emergencies before hand gives you the best chance of success. If you don't have a regular dentist, please feel free to keep our contact information in your wallet or purse so you can call quickly and get to our nearest location.
Our phone number is (909) 949-4070.